What's new

Veldhuizen cytology course switched to digital and online with Slide Score

The Veldhuizen cytology course is an opportunity for cytopathologists and cytoanalysts to learn about new techniques and developments in cytology. This year the course could not go ahead as usual due to the coronavirus restrictions.

However, the organizing team decided to organize an online webinar instead of an in-person meeting and chose Slide Score as the platform to host it. They have scanned the necessary slides and organized them into an interactive cytopathology session. Over the course of two days the almost 50 participants had a chance to browse through the slides and answer questions which were then discussed during the webinar.

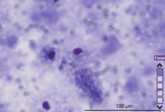
Cytology slides often involve changing the focal plane of the microscope - this can be reproduced in digital pathology slide by scanning the slides at multiple focal planes and storing all images in a single file (so-called z-stack). Slide Score quickly gained ability to switch the focal plane for slides scanned using the Hamamatsu NanoZoomer scanner to support the cytology course.

Slide Score was hosted in a cloud environment - this enabled us to scale up the server to allow 50+ participants to enjoy a fast slide viewer during the webinar but to keep the costs low during the weeks of preparation.

We can help you make your pathology course or webinar a success. Contact us!

Slide Score displaying a slide with multiple focal planes

Slide Score displaying a slide with multiple focal planes

Trademarks are the property of their respective owners.